Urgences de la main
Urgences de la main / SOS main clinique Kerlic à Quimper
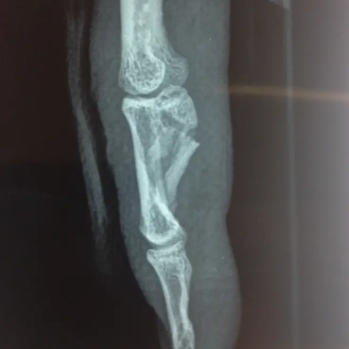
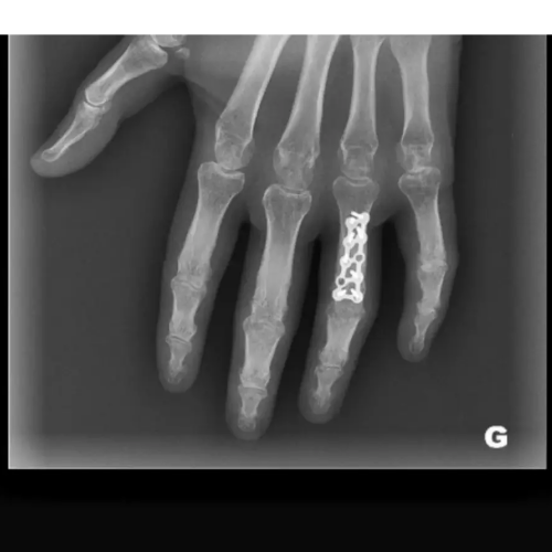
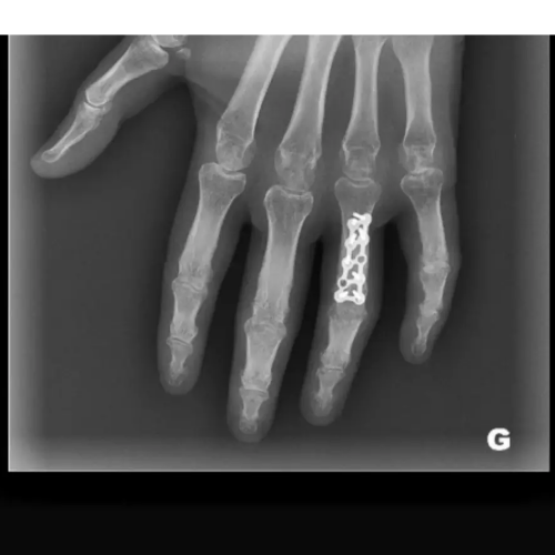
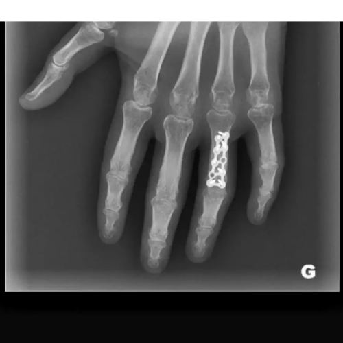
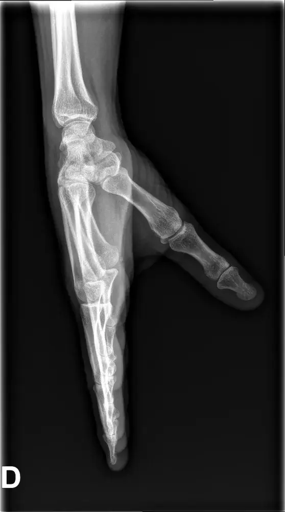
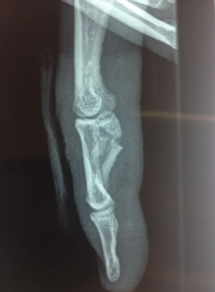
Dans le cadre des urgences de la main et du poignet, le chirurgien de la main Aude Le Corre est appelée pour la réalisation de soins ou pour des opérations chirurgicales pour des plaies, des infections, des brûlures, et de la traumatologie (fractures). Elle intervient aux urgences de la main depuis 2013.
Vous trouverez ci-dessous des exemples d'interventions SOS main :
- abcès
- arthrite
- cellulite
- corps étranger
- maladie de la goutte
- morsure
- panaris
- phlegmon de gaine
- fractures
- brûlures
- coupures
- lésions de tendons, de nerfs ou de ligaments
- etc.
Les urgences sont ouvertes du lundi au vendredi de 8 h 30 à 18 h puis le samedi de 8 h 30 à 12 h. L'accès aux soins non programmés se fait derrière les portes 1 (Maison Médicale),2 (Imagerie), et 3 (Clinique Mutualiste de Bretagne Occidentale) qui forment le Pôle Santé de Kerlic (cf. plan d'accès).
Téléphone : 02 57 23 05 05
Docteur Aude Le Corre | numéro RPPS : 10100803682 | numéro ADELI : 291703684 | Tél. : 02 98 53 98 72 | Clinique Mutualiste de Bretagne Occidentale - 15 chemin de Penhoat - 29000 Quimper | plan de site internet | mentions légales | contact
une création Quimper Internet











